• Case Report
  • |
  • Open Access

Non-Invasive High Grade Uterine Leiomyosarcoma: A Case Report

  • Nicole Clarke, BS1;
    • 1Medical Student, Rowan-Virtua School of Osteopathic Medicine, USA.
  • Thomas Horn, BS2;
    • 2Medical Student, St. George’s University School of Medicine, Grenada.
  • Gregory Crisafulli, MD3*;
    • 3Department of Surgery, St Joseph’s University Medical Center, USA
  • Pasha Shenasan, MD3;
    • 3Department of Surgery, St Joseph’s University Medical Center, USA
  • Derick Christian, MD3
    • 3Department of Surgery, St Joseph’s University Medical Center, USA.
  • Corresponding Author(s): Gregory Crisafulli

  • Department of Surgery, St Joseph’s University Medical Center, USA.

  • gcwork987@gmail.com

  • Crisafulli G (2025).

  • This Article is distributed under the terms of Creative Commons Attribution 4.0 International License

Received : Aug 25, 2025
Accepted : Sep 12, 2025
Published Online : Online: Sep 19, 2025
Journal : Journal of Gynecology Case Reports
Publisher : MedDocs Publishers LLC
Online edition : http://meddocsonline.org

Cite this article: Clarke N, Thomas H, Crisafulli G, Shenasan P, Christian D. Non-Invasive High Grade Uterine Leiomyosarcoma: A Case Report. J Gynecol Case Rep. 2025; 4(2): 1020.

Abstract

Objectives: Uterine Leiomyosarcoma (ULMS) is a rare and aggressive uterine malignancy, representing approximately 1% of uterine cancers. Due to its clinical and imaging similarity to benign leiomyomas, early diagnosis is challenging, and delayed recognition can result in poor outcomes. This report aims to highlight the diagnostic difficulties and surgical management of an advanced ULMS presenting with bowel and ureteral obstruction.

Methods: We describe the clinical course, imaging, operative findings, histopathology, and multidisciplinary management of a 66-year-old female with ULMS. Diagnostic workup included CT, MRI, and intraoperative core needle biopsy. Surgical intervention involved mass debulking, colonic diversion, bilateral nephrostomy tube placement, and re-exploration with bowel resection and ostomy creation.

Results: The patient presented with acute abdominal pain, nausea, vomiting, and progressive abdominal distention with weight loss. Imaging revealed a large necrotic pelvic mass with bilateral hydronephrosis and small bowel displacement. Biopsy confirmed high-grade leiomyosarcoma with extensive necrosis. The key finding was that her obstructive symptoms resulted from tumor compression without direct invasion of adjacent organs, underscoring the diagnostic challenge. Staged surgical debulking and diversion stabilized the patient, who was subsequently referred for systemic therapy.

Conclusions: This case illustrates the difficulty of distinguishing ULMS from benign fibroids, particularly when presenting with acute obstructive complications. Prompt surgical management and multidisciplinary care are essential to palliate symptoms and optimize outcomes. Advances in preoperative diagnostics, molecular profiling, and systemic therapies remain critical for improving survival in this aggressive disease.

Keywords: Uterine leiomyosarcoma; Leiomyoma; Hysterectomy; Gynecologic oncology; Pelvic mass.

Introduction

Uterine Leiomyoma (ULM), commonly known as a fibroid, is a benign smooth muscle tumor affecting approximately one in four women [1]. In contrast, Uterine Leiomyosarcoma (ULMS) is a rare, but highly aggressive malignant neoplasm that also arises from uterine smooth muscle. Although leiomyosarcomas can originate in various parts of the body, ULMS specifically affects the uterus and is most commonly diagnosed in premenopausal and perimenopausal women [2].

Clinically, both ULM and ULMS may present with similar or nonspecific symptoms such as large pelvic masses, abnormal uterine bleeding, or pelvic and abdominal pressure, or may be entirely asymptomatic [2]. Despite these similarities, ULMS accounts for only about 1% of all uterine malignancies [3]. Prognosis is poor due to the tumor’s aggressive nature and high susceptibility for hematogenous metastasis, particularly to the lungs, liver, brain, kidney, and bones [3]. The 5-year survival rate for metastatic disease is 10-15% [4].

Distinguishing ULM from ULMS preoperatively remains a significant clinical challenge, as current imaging modalities lack the specificity to reliably differentiate between benign and malignant uterine masses [5]. Definitive diagnosis typically requires surgical excision, with pathologic evaluation following hysterectomy [6]. Histopathologic features of ULMS include hypercellular spindle cells, diffuse cell atypia, increased mitotic activity, atypical mitoses, and tumor cell necrosis [7]. Additionally, molecular markers commonly associated with malignancy may include mutations in TP53, RB, and PTEN, as well as aberrant expression of estrogen receptors and progesterone receptors (ER/PR) [8].

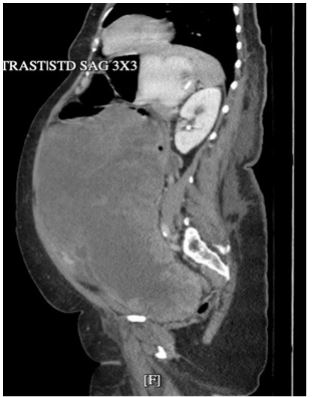
Figure 1: Pre-operative computerized tomography image of the abdomen and pelvis with IV contrast.

Case Report

A 66-year-old female with a past medical history of hypertension presented to the emergency department with acute-onset abdominal pain, nausea, and vomiting following a 12-hour flight from South Africa. She also endorsed a six-month history of progressive abdominal distention and unintentional weight loss. On physical examination, the abdomen was distended and firm with suprapubic tenderness. Bimanual pelvic exam identified a large, anterior mass extending in the vaginal canal.

Laboratory studies were notable for leukocytosis, anemia, thrombocytosis, severe hyponatremia (serum sodium 113 mmol/L), hypochloremia, hypoalbuminemia, and acute kidney injury attributed to post-renal azotemia. The patient was admitted to the Intensive Care Unit (ICU) for close monitoring and cautious correction of her electrolyte abnormalities.

Computed Tomography of the Abdomen and Pelvis (CTAP) with intravenous contrast demonstrated a 22.6×28.9×16 cm heterogeneous pelvic mass with both solid and cystic components, concerning for an ovarian or uterine neoplasm.

Associated findings included moderate bilateral hydroureteronephrosis and bladder compression, likely secondary to the mass effect (Figure 1).

Transvaginal ultrasound corroborated these findings. Bilateral percutaneous nephrostomy tubes were placed to address obstructive uropathy. Non-contrast Magnetic Resonance Imaging (MRI) of the abdomen and pelvis demonstrated a 30 cm pelvic mass displacing the uterus anteriorly. Multiple uterine fibroids were also noted, with the largest measuring 4 cm. Due to the mass’s large size and distortion of pelvic anatomy, its origin was uncertain; however, the differential favored an ovarian malignancy. Notably, the right ovary was not clearly visualized. Tumor marker evaluation showed: AFPT 218 ng/mL, Beta-hCG 1 mlU/ mL, CEA 0.3 ng/mL, Ca-125 106.0 U/mL, and Ca-19-9 29 U/mL. MRI revealed no evidence of bowel obstruction, although the bowel was displaced by the mass. Trace-free fluid was noted surrounding the uterus. Post-procedural imaging demonstrated improvement in hydronephrosis following interventional radiology-guided bilateral percutaneous nephrostomy tube placement.

A repeat CTAP showed a persistent necrotic pelvic mass extending into the left upper quadrant, new gastric distention, and multiple dilated small bowel loops concerning for partial small bowel obstruction. The patient underwent diagnostic laparoscopy with core needle biopsy of the mass and placement of a port-a-cath for anticipated oncologic treatment. Intraoperative laparoscopic ultrasound was utilized to assess the uterine mass, and multiple core needle biopsies were obtained from areas distant from surrounding bowel structures. Central venous access was successfully established under the left clavicle.

Histopathological analysis of the abdominal mass biopsy revealed a high-grade sarcoma composed of markedly atypical, mitotically active spindle and epithelioid cells of variable size. Numerous scattered multinucleated giant cells and bizarre cellular forms were present, along with extensive tumor necrosis. These findings were morphologically consistent with leiomyosarcoma. Immunohistochemical staining showed diffuse positivity for p16 and focally positive for caldesmon, smooth muscle actin, desmin, CD10, and estrogen receptors. P53 showed focal but strong nuclear positivity. Immunostaining was negative for CD117, HMB-45, and MART-1. The weak and focal nature of several positive markers is attributed to the tumor’s poorly differentiated and high-grade features. No ovarian or fallopian tube tissue was identified in the specimen. Thus, while primary ovarian leiomyosarcoma remains extremely rare, complete effacement of the ovarian tissue by the sarcoma could not be entirely excluded.

The origin of the sarcoma remained indeterminate. Although multiple intrauterine leiomyomata were identified, they were predominantly necrotic and lacked histologic evidence of malignancy, rendering a uterine origin less likely. Alternative potential primary sites include the retroperitoneum, smooth muscle of large blood vessels, or less commonly, the urinary bladder, renal pelvis, or other intra-abdominal organs.

The patient consented to exploratory laparotomy with planned hysterectomy, salpingo-oophorectomy, possible bowel resection and ostomy creation, depending on intraoperative findings. An exploratory laparotomy for intra-abdominal mass excision was performed. Intraoperatively, a large, friable, necrotic mass invading the proximal jejunum and sigmoid colon was found. Segmental small bowel resection was performed with transection proximal and distal to the involved area, including removal of small bowel tissue adherent to the uterine mass.

Extensive lysis of adhesions was required. Intra-operative examination revealed an enlarged uterine fundus and a large right broad ligament fibroid occupying the right pelvic wall and extended into the cul de sac, which impeded visualization and hemostatic control from the pelvic floor. Initial resection of the fibroid on the fundus was attempted, however, to achieve control of bleeding, the uterus with its adnexal masses needed to be removed (Figure 3). The Gynecologic Oncology team proceeded with a supracervical hysterectomy.

Figure 2: Gross intraoperative specimen.
Left: Necrotic pelvic leiomyosarcoma tumor.
Right: Uterus with multiple leiomyomas, including attached bilateral fallopian tubes and ovaries. The specimen demonstrates extensive tumor burden with distortion and enlargement of both uterine and extrauterine structures.

Cystoscopy with bilateral ureteral stents were placed by the Urology team. No evidence of tumor invasion to the bladder was noted, and bilateral ureteral access was successfully achieved without complication.

Intraoperatively, the patient became severely hypotensive and coagulopathic, requiring vasopressor support and temporary abdominal closure with an ABthera negative pressure wound therapy system. She remained intubated in the Surgical ICU pending stabilization. Two days later, the patient returned to the operating room for re-exploration. The residual sigmoidinvading region of the leiomyosarcoma was resected and an end colostomy was created. The resected colon was sent for histopathological analysis. A jejunojejunostomy was performed to restore bowel continuity, and a Percutaneous Endoscopic Gastrostomy (PEG) tube was placed for nutritional support.

Final pathology results confirmed high-grade leiomyosarcoma involving the sigmoid colon serosa with coexisting diverticular disease.

Discussion

Uterine Leiomyosarcoma (ULMS) is a rare but highly aggressive malignancy arising from the smooth muscle of the uterus. Although it accounts for only about 1% of all uterine cancers, ULMS is responsible for a disproportionately high burden of morbidity and mortality due to its invasive nature, early metastatic potential, and resistance to conventional therapies [4].

Most commonly affecting women between the ages of 40 and 60 [9], ULMS is distinct from uterine leiomyomas in both behavior and prognosis. Unlike endometrial carcinoma, ULMS lacks defined risk factors such as estrogen exposure or obesity, and its etiology remains poorly understood [4]. Genetic abnormalities, such as chromosomal instability and p53 mutations, have been observed in some cases, but no consistent molecular markers currently exist for early detection or screening [6].

The clinical presentation of ULMS is notoriously nonspecific, often overlapping with common benign gynecologic conditions. Patients typically report abnormal uterine bleeding, pelvic or abdominal pain, a rapidly enlarging uterine mass, or pressurerelated symptoms such as urinary or bowel dysfunction [4]. These features are often mistaken for symptomatic leiomyomas, leading to delayed diagnosis or inappropriate initial management [10]. In some instances, symptoms are subtle, such as urinary incontinence or apparent pelvic organ prolapse, further obscuring underlying malignancy. Rarely, patients may present acutely with hemorrhagic shock, necessitating an emergency hysterectomy, underscoring ULMS’s capacity to cause lifethreatening complications [10].

Preoperative diagnosis remains one of the greatest challenges in managing ULMS. Conventional imaging modalities, such as ultrasound, MRI, and CT, cannot reliably distinguish ULMS from leiomyomas. While certain MRI features that may suggest malignancy, such as irregular tumor margins, necrotic areas, and heterogeneous enhancement, they are neither sensitive nor specific [9]. As a result, most cases are diagnosed only after surgical resection and histopathological analysis. Histologic criteria for diagnosis include marked nuclear atypia, a high mitotic index (>10 mitoses per 10 high-power fields), and the presence of coagulative tumor cell necrosis [7]. These pathologic hallmarks remain the cornerstone for diagnosis and grading.

Therapeutic options are limited, and optimal management remains controversial. Surgical resection with complete tumor resection is the mainstay of treatment, while the role for adjuvant therapy is unclear due to the paucity of randomized controlled trials demonstrating a clear survival benefit. Radiation therapy may reduce local recurrence. Chemotherapy regimens -- commonly including gemcitabine, docetaxel, or doxorubicin have demonstrated limited efficacy as ULMS often exhibits chemoresistance [4,9]. Disease progression may occur rapidly despite systemic therapy, and mortality within months of diagnosis is not uncommon [13].

Prognosis is largely dependent on stage at diagnosis. Fiveyear survival rates range from 50% to 60% for stage I disease to less than 10% in metastatic stage IV cases [3]. Prognostic indicators such as high mitotic count, large tumor size, and the presence of necrosis are associated with a worse prognosis [4]. While complete resection of early-stage tumors offers the best chance for prolonged survival, recurrence remains common, often within two years of diagnosis [10]. Thus, vigilant longterm surveillance is essential even in patients initially deemed disease-free.

Conclusion

Uterine Leiomyosarcoma (ULMS) is a rare but aggressive malignancy that often mimics benign uterine conditions, leading to delayed diagnosis and poor outcomes. This case highlights the diagnostic challenges and the critical role of early surgical intervention. While complete resection remains the cornerstone of treatment, outcomes in advanced disease remain poor due to the lack of reliable preoperative diagnostics and limited systemic therapy options. Improved clinical awareness, avoidance of morcellation, and timely multidisciplinary management are essential for optimizing care. Future advances in molecular diagnostics and targeted therapies will be vital to improving prognosis and guiding individualized treatment strategies for this challenging disease.

“Written informed consent was obtained from the patient for publication of this case report and accompanying images.”

References

  1. Stewart EA. Uterine fibroids. Lancet. 2001; 357: 293–298.
  2. Juhasz-Böss I, Gabriel L, Bohle RM, Horn LC, Solomayer EF, Breitbach GP. Uterine leiomyosarcoma. Oncol Res Treat. 2018; 41: 680–686.
  3. Yang Q, Madueke-Laveaux OS, Cun H, et al. Comprehensive review of uterine leiomyosarcoma: pathogenesis, diagnosis, prognosis, and targeted therapy. Cells. 2024; 13: 1106.
  4. D’Angelo E, Prat J. Uterine sarcomas: a review. Gynecol Oncol. 2010; 116: 131–139.
  5. Guo J, Zheng J, Tong J. Potential markers to differentiate uterine leiomyosarcomas from leiomyomas. Int J Med Sci. 2024; 21: 1227–1240.
  6. George S, Serrano C, Hensley ML, Ray-Coquard I. Soft tissue and uterine leiomyosarcoma. J Clin Oncol. 2018; 36: 144–150.
  7. Bell SW, Kempson RL, Hendrickson MR. Problematic uterine smooth muscle neoplasms. A clinicopathologic study of 213 cases. Am J Surg Pathol. 1994; 18: 535–558
  8. Leitao MM Jr, Hensley ML, Barakat RR, et al. Immunohistochemical expression of estrogen and progesterone receptors and outcomes in patients with newly diagnosed uterine leiomyosarcoma. Gynecol Oncol. 2012; 124: 558–562.
  9. Byar KL, Fredericks T. Uterine leiomyosarcoma. J Adv Pract Oncol. 2022; 13: 70–76.
  10. Dunphy L, Sheridan G. Uterine leiomyosarcoma: a rare clinical entity. BMJ Case Rep. 2021; 14: e244233.
  11. Senol T, Kahramanoglu I, Muezzinoglu B, Yucesoy I. Giant leiomyosarcoma: a case report. Int J Surg Case Rep. 2016; 19: 109– 111
  12. Wright JD, Schorge JO, Kilcoyne A, Tambouret RH. Case 16-2017 - a 69-year-old woman with urinary incontinence. N Engl J Med. 2017; 376: 2066–2073.
  13. Das S, Srivastava S, Srivastava P, Prasad N, Roy M, Sarkar I. A rare case of aggressive uterine leiomyosarcoma: a case report. Pan Afr Med J. 2024; 49: 10.
  14. Tsarna E, Kontou L, Tsochrinis A, Chavez N, Georgopapadakos N. Emergency hysterectomy in a hemodynamically unstable patient: a case of uterine leiomyosarcoma. Cureus. 2020; 12: e11586.
  15. Almoshantaf MB, Orabi T, Ezzdean W, Karnabeh M. Stage IV uterine leiomyosarcoma resection: a case report. Ann Med Surg (Lond). 2022; 79: 103905.

MedDocs Publishers

We always work towards offering the best to you. For any queries, please feel free to get in touch with us. Also you may post your valuable feedback after reading our journals, ebooks and after visiting our conferences.