• Case Report
  • |
  • Open Access

Difficult Left Ventricle Entry in Percutaneous Transvenous Mitral Valve Commissurotomy Succeeded by Veno - Arterial Looping

  • Kadiyala Vikas, MD, DM1*;
    • 1Department of Cardiology, All India Institute of Medical Sciences, Mangalgiri, India.
  • Nagabhushan Doddaka, MD2;
    • 2Department of Cardiology, Narayana medical college and hospital, Nellore, India.
  • Revanth Vulli, MD22;
    • 2Department of Cardiology, Narayana medical college and hospital, Nellore, India.
  • Corresponding Author(s): Kadiyala Vikas

  • Assistant Professor, Department of Cardiology, All India Institute of Medical Sciences, Mangalgiri, India.

  • vikas.kadiyala@gmail.com

  • Vikas K (2026).

  • This Article is distributed under the terms of Creative Commons Attribution 4.0 International License

Received : Jan 03, 2026
Accepted : Feb 02, 2026
Published Online : Online: Feb 09, 2026
Journal : Annals of Cardiology Case Reports
Publisher : MedDocs Publishers LLC
Online edition : http://meddocsonline.org

Cite this article: Vikas K, Doddaka N, Vulli R. Difficult Left Ventricle Entry in Percutaneous Transvenous Mitral Valve Commissurotomy Succeeded by Veno - Arterial Looping. Ann Cardiol Case Rep. 2026; 6(1): 1011.

Abstract

Percutaneous transvenous mitral commissurotomy is the important procedure for severe mitral valve stenosis. The determining factors for the procedural success are transeptal puncture and Left Ventricle (LV) entry. Of which, inability to balloon catheter crossing across the mitral valve is the primary cause for procedural failure. There are different bailout techniques for difficult LV entry. In this case we used veno-arterial loop technique for LV entry.

Keywords: Percutaneous Transmitral Commissurotomy (PTMC); Mitral valve stenosis; Veno-arterial loop.

Introduction

Mitral valve stenosis secondary to rheumatic aetiology is the most prevalent among the valvular heart diseases predominantly affecting the young population in developing countries [1]. Percutaneous transmitral commisurotomy (PTMC) is the standard method of treatment for severe mitral stenosis with favourable valve morphology, thus preventing the valve replacement surgery in younger age population. Procedural success of the procedure depends on two important steps i.e transeptal puncture and left ventricle (LV) entry of the balloon. The rate of procedural failure ranges from 1% to 17% [2].

The factors causing difficulty in aligning the balloon across the mitral valve for LV entry are low or anterior septal puncture, interatrial septum bulge to right, giant left atrium and severity of sub mitral apparatus disease. In standard method the balloon catheter with stylet support was manoeuvred in anticlockwise direction while crossing the mitral valve. In difficult entry, there are different modified techniques for LV entry. In this case report, we managed the difficult LV entry of the balloon catheter across the mitral valve by using veno- arterial loop technique.

Case report

A 45-year-old female with history of progressively increasing shortness of breath with exertion was evaluated to have severe mitral valve stenosis with area of 0.9cm2 by 2D planimetry and wilkins score of 10. Transesophageal echocardiography showed a small type 1 Left Atrial Appendage (LAE) clot measuring 1.5x1.0 mm. This is a partial contraindication for PTMC procedure and the operator should be cautious during the manipulation of balloon in Left Atrium (LA) and prevent its entry into LAE. PTMC procedure was chosen in this case scenario with all complications explained to the patient.

Procedure

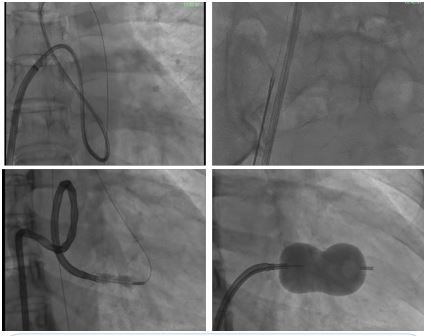
PTMC procedure was proceeded via femoral venous access through 8F sheath in right femoral vein and 6F Common Femoral Arterial (CFA) access. The 6 F pigtail catheter was positioned in non-coronary aortic sinus. The procedural steps were according to standard technique. The needle tip position was confirmed in antero-posterior view and lateral fluoroscopy views for septal puncture. The Accura balloon catheter was successfully parked in the left atrium. However, the further step of entry into LV was difficult. We tried the modified strategies for LV entry like loop technique and over wire technique, which failed. Thus we used the venous arterial loop technique as a bailout. The balloon was exchanged with Mullen’s sheath telescoped with JR diagnostic catheter. With help of support system, 0.25-inch Jtip 280 cm Terumo wire was negotiated across the mitral valve into LV (Figure 1A) and then antegradely through the aorta and managed to progress the wire tip position in right external iliac artery. Due to absence of snare, we used a rigid forceps to externalise the wire through the upsized 7F sheath placed in CFA (Figure 1B). The balloon could be then slide into LV over the veno-arterial rail (Figure 1C). The step wise balloon dilation went to a maximum volume of 26 cc (Figure 1D). Post procedure was uneventful and echocardiogram showed both the commissures of mitral valve got opened with valve area of 2.0 cm2 without significant mitral regurgitation.

Figure 1: Demonstration of Bail out technique for difficult left ventricle entry – the veno-arterial loop technique. (A) 0.25-inch guide wire successfully negotiated through the mitral and aortic valve supported by mullens sheath with JR catheter, (B) Guide wire was externalised with help of rigid forceps, (C) Accura balloon catheter negotiated over the veno-arterial loop across the mitral valve, (D) Step-wise dilation of balloon catheter across the mitral valve.

Discussion

PTMC is the first line treatment of rheumatic mitral stenosis. In anatomically appropriate cases there is high success with low complication rate [3]. The important steps in PTMC procedure is transeptal puncture and crossing of mitral valve. In this case, anterior site of septal puncture and large sized LA could be the possible reasons for difficulty in aligning the balloon towards the mitral valve. At this juncture, either revision of septal puncture site or using bail out procedures for LV entry are needed. Further, while manoeuvring the balloon across the mitral valve the important aspect to be considered is the shape of stylet used for guiding the balloon should be altered according to site of septal puncture and LA size. In this case, we have decided to use bail out techniques for LV entry of PTMC balloon. There are different bail out manoeuvres in cases of failed balloon crossing across the mitral valve like double looping of balloon catheter in LA, reverse looping in LA, over the wire technique [4], Swartz Ganz balloon floatation technique and sliding the balloon into LV over the veno-arterial loop [5]. To establish the veno-arterial loop, 0.25 inch termo guide wire was used as 0.35-inch wire wouldn’t be compatible with the inner luminal diameter of Accura balloon catheter. The stability of loop is maintained with controlled traction from the arterial side of wire. The traction should be minimal without leading to complications like wire cutting through the valves or aorta. The absence of snare was substituted by rigid forceps to externalise the wire.

Conclusion

Septal puncture site and LV entry are the key determinants for the success of LV entry of balloon. Appropriate use of hardware (shape of stylet) and bail out techniques play a pivotal role in difficult cases of LV entrys.

Author declarations

Acknowledgment

The present information in this article has not been presented in any other scientific meeting. Apart from the authors mentioned in title page no others have contributed to the article.

Conflict of interest

The authors declare that there is no conflict of interest.

The authors declare that there is no conflict of interest.

The standard consent has been taken before the procedure as per institution protocol and there is no patient identity data used in the case report.

References

  1. Chandrashekhar Y, Westaby S, Narula J. Mitral stenosis. Lancet. 2009; 374: 1271-83.
  2. Momen A, Ali MZ, Hyder Chowdhury NA, et al. Difficulties to enter the left ventricle during percutaneous transvenous mitral commissurotomy (PTMC)- our experiences of 80 cases with modified techniques. Indian Heart J. 2021; 73: 612-16.
  3. Lung B, Nicoud-Houel A, Fondard O, et al. Temporal trends in percutaneous mitral commissurotomy over a 15-year period. Eur Heart J. 2004; 25: 701-7.
  4. Meier B. Modified Inoue technique for difficult mitral balloon commissurotomy. Cathet Cardiovasc Diagn. 1992; 26: 316-18.
  5. Nanjappa V, Sadanand K.S, Santosh K, Basappa H, Manjunath C. N, Nayak M. H. Case series: Difficult PTMC using novel technique of veno-arterial looping. Indian heart J. 2017; 69: 207-10.

MedDocs Publishers

We always work towards offering the best to you. For any queries, please feel free to get in touch with us. Also you may post your valuable feedback after reading our journals, ebooks and after visiting our conferences.